







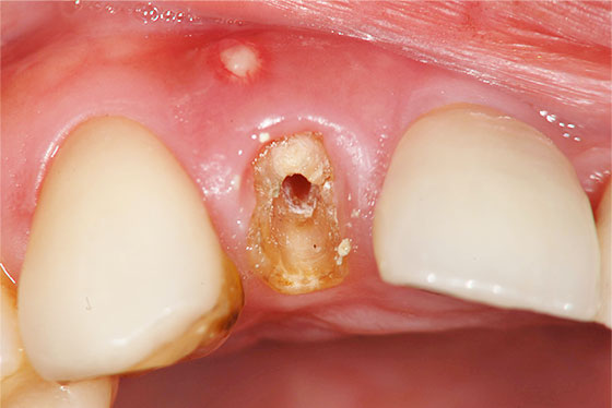
歯の上部が割れた場合と、歯の根が割れた場合とでは、治療法や治療の難易度が異なります。「歯の上部」が割れた場合は、基本的に抜歯せずに治療が可能です。しかし、「歯の根」が割れた場合、多くのケースは抜歯の選択となります。
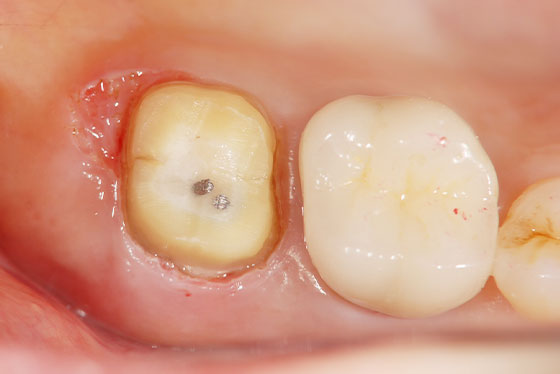
しかし、「歯の根」が割れた場合でも、一度、その歯を意図的に抜歯し、割れた部分を処置して再度元に戻す「意図的再植術」を行うことで最終的には抜歯せずに治療ができることもあります。
以下、他院で「抜歯」と言われた歯を残したケースになります。










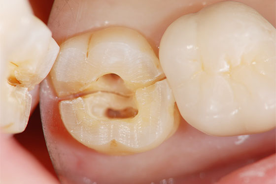
他院で「歯の根が割れてるので、抜歯になります」と言われた場合でも、実際は割れておらず、通常の根管治療で対応ができる場合があります。
これは、医院により「診断力」に差があるためです。
そのため本来残せたはずの歯も抜歯になってしまうケースが意外に多くあります。
他院で抜歯と言われた場合でも、どうしても残したいとお考えの方、一度ご相談ください。当院では「セカンドオピニオン」も受け付けておりますので、お気軽にお問合せください。

その他、経歴/論文発表/講演等に関しては院長・スタッフ紹介をご参照ください。















当院では、患者さんが抱えていらっしゃるお口のお悩みや疑問・不安などにお応えする機会を設けております。どんな事でも構いませんので、私達にお話しして頂けたらと思います。 ご興味がある方は下記からお問い合わせください。
